Bridges
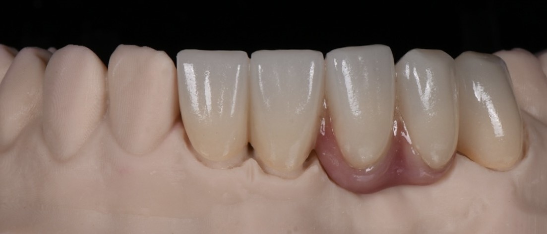
A bridge replaces a missing tooth by literally “bridging” the gap. In most cases, two crowns are affixed to the teeth adjacent to the gap, while an artificial tooth (pontic) is connected in the middle to replace the missing tooth.
A bridge replaces a missing tooth by literally “bridging” the gap. In most cases, two crowns are affixed to the teeth adjacent to the gap, while an artificial tooth (pontic) is connected in the middle to replace the missing tooth.

HOW IS A BRIDGE ATTACHED?
The attachment procedure usually takes two or three appointments to complete. At the first appointment, Dr. Sutton will prepare the teeth on either side of the gap by removing a portion of the enamel and dentin.
Since the bridge must be fabricated very precisely to ensure a correct bite and to match the opposing tooth, impressions of the teeth are taken and sent to the dental lab where the bridge will be constructed. In the meantime, acrylic temporaries, replicating the final bridge, are temporarily cemented in your mouth for 3-4 weeks while the definitive bridge is fabricated.
When you return to Core Dental after the temporary stage, the final bridge will be tried in, evaluated, and adjusted as needed to ensure a perfect fit. Once ready, the bridge is definitively cemented into place.
Bridges replacing your front teeth may require an additional “try-in” appointment to ensure the esthetics are ideal, prior to the final cementation appointment.
WHAT CAN I EXPECT IN THE CROWN AND BRIDGE PROCEDURES?
Clinical findings and your desires will be considered in all of our planning. Models, digital x-rays, and other records help guide your personalized treatment. When many teeth are being treated, we will usually first design your new teeth with carved waxed on a stone model, thus acting as a precise blueprint throughout treatment. These models even provide a highly individualized pattern for your temporary teeth, used while your permanent crowns or bridges are being created.
At your treatment appointment, gently numbed teeth undergo specific shaping, to ready the tooth for the crown, and impressions of the prepared teeth are captured. Along with photographs and records of your bite, these essential pieces are sent to a specialty dental lab to create your crowns or bridges. Hours of intense, detailed craftsmanship move your new crowns and bridges through the steps needed to bring them to life. In the meantime, acrylic temporaries, replicating the final crowns, are temporarily cemented in your mouth for 3-4 weeks while the definitive crowns are fabricated.
When you return to Core Dental after the temporary stage, the final crowns or bridges will be tried in, evaluated, and adjusted as needed to ensure a perfect fit. Once they’re bonded into place, a final polish brings your restored smile to life. While many teeth can often be completed at once in this fashion, some cases may involve repeating the steps in a separate area of your mouth. Additionally, crowning your front teeth may require an additional “try-in” appointment to ensure the esthetics are ideal, prior to the final cementation appointment.
Implant-supported cases involve modifications to these steps but crafting customized crowns and bridges in either scenario leads to the same outcome. Restoring your mouth with the best materials, guided by an expert clinician, in a comfortable environment brings the best of dentistry to you in the Vancouver area.

HOW LONG DO DENTAL CROWNS AND BRIDGES LAST?
Dental crowns and bridges can last several years when cared for properly. In addition to practicing good oral hygiene, the longevity of your crowns will be influenced by the materials used and your personal habits including clenching/grinding of your teeth. On average, crowns and bridges can last about 15 years before they need to be replaced.